24 Hour Emergency Dentist in Birmingham
16 Drury Lane
Solihull
Birmingham, B91 3BG
07857 998997Urgent Dental Care
Services When
You Need It Most.

Emergency Dentistry
Open 24/7 for emergency dental care
No registration required.
Cosmetic Dentistry
All your cosmetic dentistry needs
0% interest financing.
+
Dentists
+
Happy monthly patients
/7
Emergency Care Available
Dental Care Services
For Smiles That Last
Whether you're seeking immediate relief for a a dental problem or exploring cosmetic dentistry, our dental care services are tailored to restore your comfort, confidence, and peace of mind.

24/7 Emergency Dental Care
Immediate Relief
Immediate assistance when you need it most, from lost fillings to a broken tooth and everything in between.
Smile Brightening
Beautiful Results
Enhance your smile with our cosmetic options, including whitening, veneers, and composite bonding for a confident, radiant appearance.
Invisalign® Clear Aligners
Invisible Options
Achieve a straighter smile discreetly with our Invisalign treatment, tailored for comfort and effectiveness.

Your Dental Clinic in Birmingham
Our dental clinic in Birmingham is equipped with modern facilities and digital X-rays, providing a full range of emergency, cosmetic, and general dental treatments. We welcome registered and unregistered patients, including adults, children, and nervous patients. Conveniently located in Solihull with same-day appointments and flexible hours.
Transformations
Before and After
Discover the amazing transformations achieved through our expert care. Swipe to see the difference!
Enhanced Smile
Composite Bonding • 2 visits
Composite bonding restored the tooth’s shape, strength, and natural look
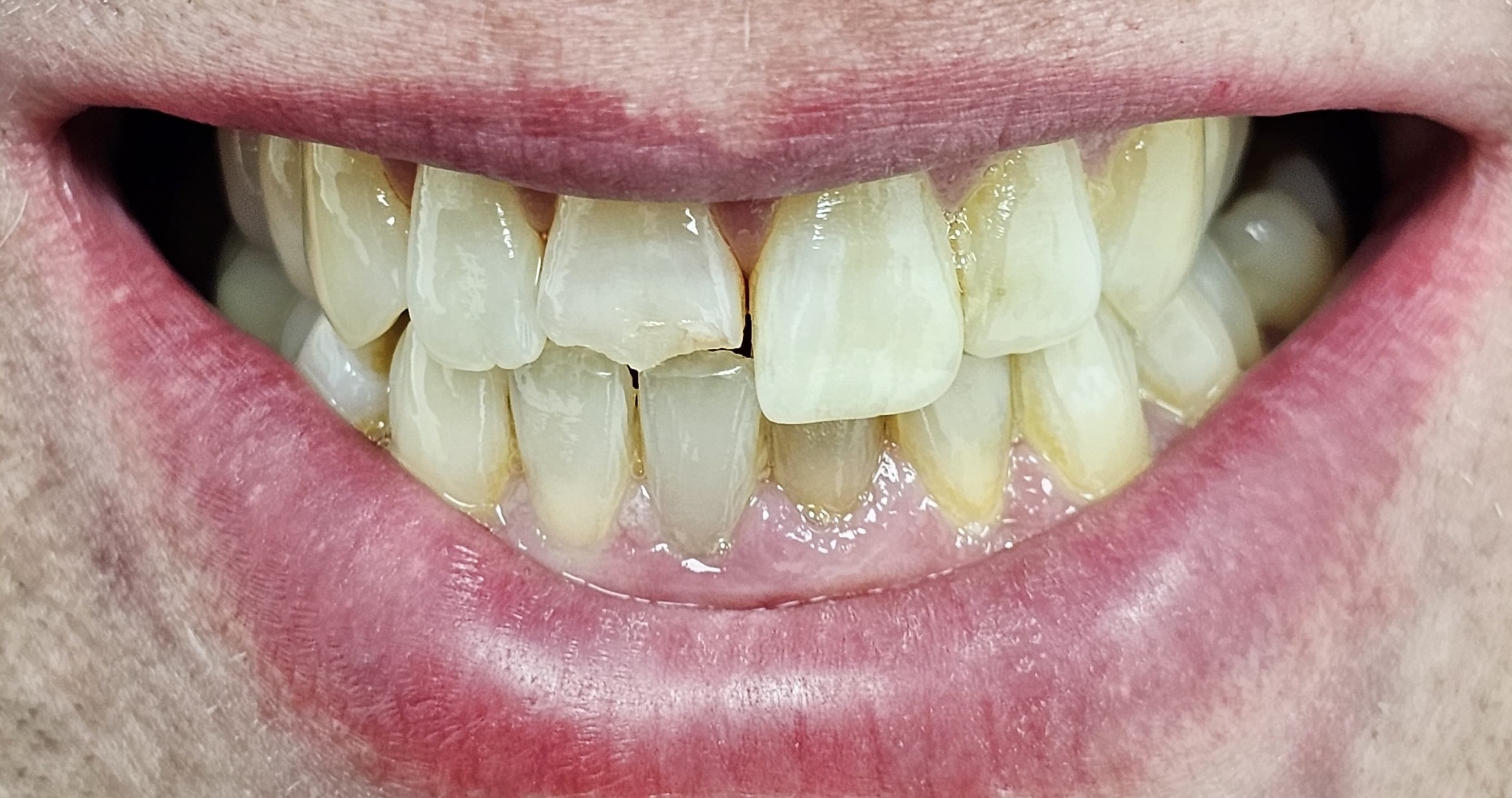
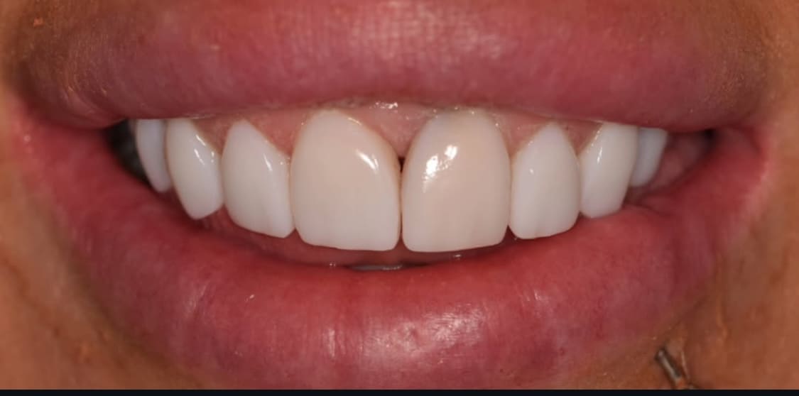
Broken Tooth
Composite Bonding • 2 visits
Restored natural appearance and function after damage
Teeth Restoration
Porcelain Veneers • 5 visits
Enhanced smile with custom veneers
Patient Testimonials
Every Smile Tells A Story
Emergency Dental Treatments
Are you experiencing dental pain? We can help, by arranging a same day appointment.

Request Appointment
Fill out this form and we'll contact you to schedule your appointment.
Got Questions?
Frequently Asked Questions
We understand that dental care can be a bit daunting, so we've compiled answers to common questions to help you feel more at ease.
Yes, we accept all new patients without the need for registration. Our 24/7 emergency care is available upon booking.
We provide a wide range of dental treatments including 24 hour emergency care, routine check ups, cosmetic dentistry, invisalign, implants, and more. Visit our treatments page for more details.
If you are experiencing toothache pain, it is important to seek immediate care, contact us on 07857998997. A&E is not equipped to handle dental emergencies and may not provide the necessary treatment.
Absolutely. We understand dental anxiety and prioritise creating a calm, supportive environment for all our patients. Our team takes extra care to ensure gentle and patient-focused care throughout your visit.
We encourage you to share your concerns with us openly. Our staff is trained to handle anxious patients with empathy and understanding, helping to make your dental experience as comfortable as possible.
If you have specific requests or need additional accommodations, please reach out to us in advance via our email Birmingham@oneemergencydentistbirmingham.co.uk or call us on 07857998997, and we will do our best to cater to your needs.
A dental emergency is any issue that causes severe pain, bleeding, or damage to your teeth or mouth. Common dental emergencies include toothaches, knocked-out teeth, broken or chipped teeth, lost fillings or crowns, cracked veneers or bridges, and bleeding after a tooth extraction. If your denture breaks or you're unable to eat or sleep due to dental pain, this also counts as an emergency.
If you're experiencing a dental emergency at home in Birmingham, the first step is to call our 24 hour emergency dentist team on 07857998997. We're available 7 days a week, 365 days a year, and we can guide you through home remedies to manage pain, swelling, or bleeding. Acting quickly can prevent complications and save your tooth. Get booked in and seen with in 15 minutes.
For the initial consultation, the cost is £50, that includes a full examination and any necessary x-rays. After this, costs vary depending on the treatment. We provide clear estimates before proceeding. Contact us on 07857998997 for a general price guide or schedule a consultation. Or view our payment options page for more information.
Emergency Consultation in only £20 in January 2026!
We are available 24/7 for emergency care upon booking. Whether you need a routine check-up or a complex procedure, we can accommodate for your needs.
For routine check-ups and other services, please contact us to schedule an appointment on 07857998997.
If you are experiencing the following symptoms, you should visit the A&E:
- Struggling and having difficulty breathing or swallowing which is caused by swelling
- Severe bleeding that cannot be controlled
- Serious facial injuries around the eyes, nose or mouth
However, if you are experiencing other symptoms such as night time toothache, or you have a missing filling or a crown, you should contact us on 07857998997 to get seen with in 15 minutes.





